دوران عظمة الفخذ للداخل المفرط هو اعتلال في نمو العظمة ويسبب التفاف القدم للداخل اثناء المشي. عادة لا يكون مشكله ولا يسبب اضرار ...
العظم الزجاجي هو مرض وراثي يؤدي الى كسور متعددة وتشوهات/تقوسات في العظام. تعالج الكسور في أول سنتين بالعادة بالجبس ...
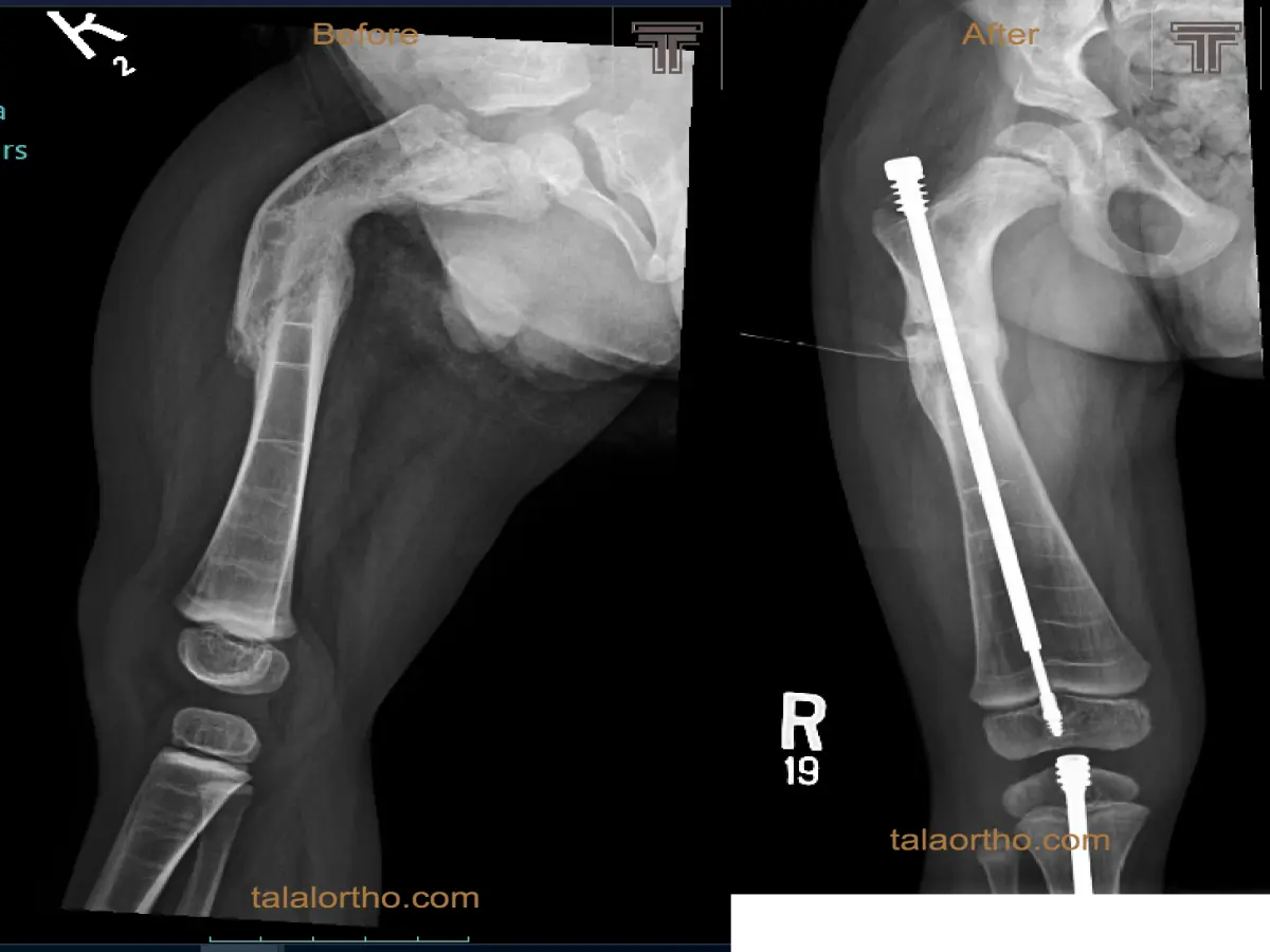
بخلاف الكسور العادية في الاطفال فإن مثل هذا الكسر يحدث دون اصابه والتآمه صعب. في حال التآمه بعد التدخل الجراحي ...
في مثل هذه الحالات تكون الصابونه مخلوعه في الجانب وبالتالي يصعب على المريض فرد الركبة وتكون مثنيه ومتيبسه ...
فقد العظم يحد بعد كسر او التهاب في العظم او بعد ازالة ورم في العظم. نقل العظم يتم بواسطة جهاز خارجي ...